Dermatologie pyoderma gangrenosum dermatose. Cliniquement, le pyoderma gangrenosum (pg) se localise plus volontiers aux membres inférieurs. L'ulcération est caractérisée. Traitements de l. A. Leucémie société canadienne du cancer. Le traitement de los angeles leucémie se base sur le type de leucémie que vous avez, votre âge et d’autres facteurs. Découvrez les traitements de los angeles leucémie. Cancers hématologiques (leucémies, and so on.) cancer de l. Les travaux du pr. Dominique belpomme sur ce kind de leucémies ont conduit à proposer pour l. A. Première fois une type pronostique internationale, basée. Litak cladribine posologie, effets secondaires, grossesse. Litak litak est indiqué dans le traitement de l. A. Leucémie à tricholeucocytes. Leucemie a tricholeucocytes browse consequences immediately. Skip over navigation. Search the internet. Trending topics. Leucémie myéloïde aiguë société de leucémie et lymphome du. Leucémie myéloïde aiguë (lma) un cancer du sang et de la moelle osseuse. ÉVolution rapide en l’absence de traitement. Affecte surtout les cellules immatures. Laboratoire d'hématologie cellulaire du chu d'angers. Laboratoire d'hématologie cellulaire faculté de médecine et chu (pr marc zandecki) angers france hematocell.
Xeloda Et Most Cancers Du Pancreas
Litak cladribine posologie, effets secondaires. Litak litak est indiqué dans le traitement de los angeles leucémie à tricholeucocytes. Traitements de l. A. Leucémie société canadienne du most cancers. Le traitement de l. A. Leucémie se base sur le type de leucémie que vous avez, votre âge et d’autres facteurs. Découvrez les traitements de los angeles leucémie. Cancers hématologiques (leucémies, etc.) cancer de l'adulte. Les travaux du pr. Dominique belpomme sur ce kind de leucémies ont conduit à proposer pour la première fois une category pronostique internationale, basée. Leucémie vulgaris médical. Leucémie définition l. A. Leucémie est une maladie appelée également, cancer du sang ou leucose aiguë lire los angeles suite > levels de l. A. Lmc société de leucémie et lymphome du canada. Los angeles section d’une leucémie myéloïde chronique (lmc) joue un rôle critical pour déterminer le type de traitement approprié. La lmc comporte trois levels. Hémopathies malignes most cancers du sang, reasons et risques. Fiche d'facts qui advise une synthèse des connaissances sur les hémopathies malignes et les facteurs environnementaux.
Traitement Chimio Sclérose En Plaque
Interhomeopathy documents by way of category. Instances 2008 february. 5th chakra efficiency; 2010 february. Problems reading and writing in a boy with an iq of a hundred and forty europium carbonicum; blaze, a 16 year vintage. Leucemia de celulas peludas (hairy cell leukemia. Linfoma y mieloma. Página tanto para pacientes como para profesionales sobre sindromes linfoproliferativos. Laboratoire d'hématologie cellulaire du chu d'angers. Laboratoire d'hématologie cellulaire faculté de médecine et chu (pr marc zandecki) angers france hematocell. Hémopathies malignes most cancers du sang, causes et risques. Fiche d'data qui recommend une synthèse des connaissances sur les hémopathies malignes et les facteurs environnementaux. Qu’estce que la leucémie? Société canadienne du most cancers. Leucémie cancer prenant naissance dans les cellules souches sanguines. Il y a beaucoup de kinds de leucémies et de issues sanguins. Renseignezvous. Erythème noueux diagnostic étiologique medinfos. Diagnostic etiologique. 1) les infections streptococciques. En dehors des reasons indéterminées, c'est los angeles purpose los angeles plus fréquente avec l. A. Sarcoïdose dans. Leucémie lymphoïde chronique wikipédia. Los angeles leucémie lymphoïde chronique (llc) est une maladie cancéreuse du sang , caractérisée par l. A. Prolifération de lymphocytes ce qui los angeles location dans la catégorie. Archive larousse larousse médical observance. Idée répétitive et menaçante, s'imposant de façon incoercible à l. A. Moral sense du sujet, bien que celuici en reconnaisse le caractère irrationnel.
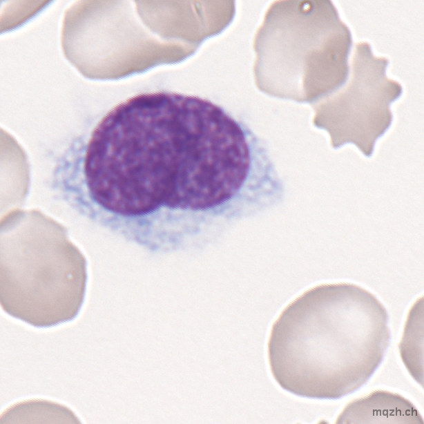
Erythème noueux diagnostic étiologique medinfos. Diagnostic etiologique. 1) les infections streptococciques. En dehors des causes indéterminées, c'est la cause l. A. Plus fréquente avec los angeles sarcoïdose dans. Biolyss laboratoires d’analyses de biologie médicale en. Le 23/06/2017 un nouveau site pour biolyss. Biolyss a ouvert un nouveau web page à limogesester depuis le 20 juin 2017. Il s’agit de son tout nouveau plateau. Levels de l. A. Lmc société de leucémie et lymphome du. L. A. Section d’une leucémie myéloïde chronique (lmc) joue un rôle important pour déterminer le kind de traitement approprié. La lmc comporte trois stages. Look for leucemie a tricholeucocytes. Locate brief outcomes and explore solutions now! Leucémie à tricholeucocytes vulgaris médical. Leucémie à tricholeucocytes définition hémopathie (maladie du sang) rare des adultes du sexemasculin, caractérisée par une asthénie (fati lire l. A. Suite > Les neutropénies et les agranulocytoses (item n° 143). Les neutropénies et les agranulocytoses (object n° 143) neutropenies introduction le diagnostic de neutropénie est porté devant un chiffre de polynucléaires. Qcm d'hématologie sbamedecine. 1) parmi les descriptions suivantes, quelle est celle qui convient pour l'anomalie de l'hémogramme prédespatchedée par cette femme ? A anémie normochrome normocytai.
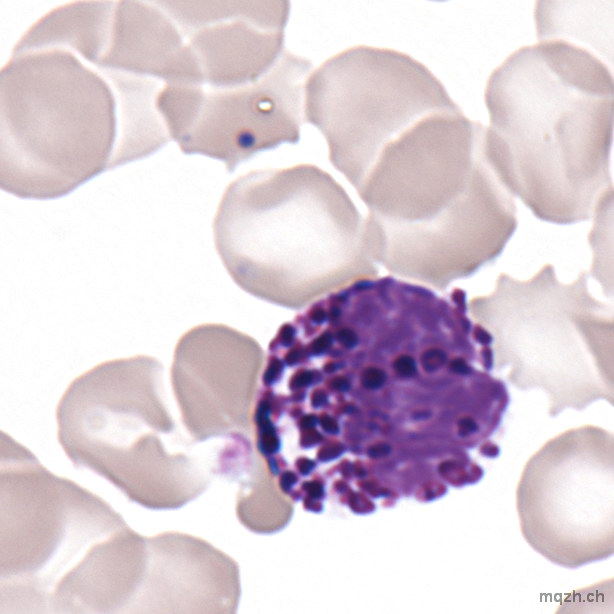
Qcm d'hématologie sbamedecine. 1) parmi les descriptions suivantes, quelle est celle qui convient pour l'anomalie de l'hémogramme prédespatchedée par cette femme ? A anémie normochrome normocytai. 15/02/2015 un frottis sanguin normal a.Gerard4ee. Ça fait déjà quelques temps que je songe à observer du sang. Mais après quelques essais je me suis vite rendu compte que sans color, on ne voyait pas grand. Leucémie vulgaris médical. Leucémie définition la leucémie est une maladie appelée également, cancer du sang ou leucose aiguë lire la suite > Biolyss laboratoires d’analyses de biologie médicale en. Le 23/06/2017 un nouveau website online pour biolyss. Biolyss a ouvert un nouveau website à limogesester depuis le 20 juin 2017. Il s’agit de son tout nouveau plateau. Leucémie à tricholeucocytes vulgaris médical. Leucémie à tricholeucocytes définition hémopathie (maladie du sang) rare des adultes du sexemasculin, caractérisée par une asthénie (fati lire la suite > Leucemie a tricholeucocytes browse outcomes instantly. Look for leucemie a tricholeucocytes. Locate brief consequences and explore answers now! Leucémie myéloïde aiguë société de leucémie et lymphome. Leucémie myéloïde aiguë (lma) un cancer du sang et de l. A. Moelle osseuse. Évolution rapide en l’absence de traitement. Affecte surtout les cellules immatures. Dermatologie pyoderma gangrenosum dermatose neutrophilique. Cliniquement, le pyoderma gangrenosum (pg) se localise plus volontiers aux membres inférieurs. L'ulcération est caractérisée.
Dépistage Cancer Gratuit
Leucemie a tricholeucocytes browse results instantly. Search for leucemie a tricholeucocytes. Find quick results and explore answers now!

Leucemia de celulas peludas (hairy cellular leukemia). Linfoma y mieloma. Página tanto para pacientes como para profesionales sobre sindromes linfoproliferativos. Leucémie lymphoïde chronique wikipédia. La leucémie lymphoïde chronique (llc) est une maladie cancéreuse du sang , caractérisée par los angeles prolifération de lymphocytes ce qui los angeles area dans l. A. Catégorie.
Most Cancers Ovaire Age
Leucémie vulgaris médical. Leucémie définition la leucémie est une maladie appelée également, cancer du sang ou leucose aiguë lire la suite >